您好,欢迎进入太原市万柏林区郑晋秦诊所
服务热线:131-0000-9539
网站首页
医院简介
新闻中心
疗效展示
在线留言
联系我们
网站首页
医院简介
新闻中心
疗效展示
在线留言
联系我们
当前位置:> 医疗展示
医疗展示
鼻炎鼻窦炎
鼻息肉
联系我们
太原市万柏林区郑晋秦诊所
联系人:马瑛豪
电话:131-0000-9539
0351-5221222
微信:m13100009539
病历
治疗后
治疗前
病历
治疗后
治疗前
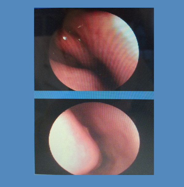
病历
鼻息肉后
1
2
3
太原市万柏林区郑晋秦诊所
晋ICP备19013516号-1
联系人: 马瑛豪 座机:0351-5221222
地址:太原市万柏林区和平南路新义街万科蓝山五期步行街 N6-1012 联系电话:131-0000-9539
技术支持:
龙采科技(山西)有限公司
---
百度山西地区营销服务中心
(
山西百度推广
、
山西网站建设
)